상담과목
제목
처리상태
임플란트
임플란트 교정
임플란트
임플란트 재수술?
모바일 온라인상담신...
치아교정
교정 문의합니다.
치아교정 모바일 랜딩...
모바일 온라인상담신...
임플란트 랜딩을 통한 ...
모바일 온라인상담신...
임플란트 모바일 랜딩...
치아교정
재교정비용 궁금합니
선택하세요.
임플란트
치아교정
치아성형
충치
치주
사랑니
선택하세요.
임플란트
치아교정
치아성형
충치
치주
사랑니
선택하세요.
서울
부산
대구
인천
광주
대전
울산
세종
경기
강원
충북
충남
전븍
전남
경북
경남
제주
선택하세요.
남
여
선택하세요.
10대
20대
30대
40대
50대
60대
70대
로그인
회원가입
서울플러스 치과소개
수면마취센터
임플란트 특화진료
치아교정 특화진료
치아성형 특화진료
치아 일반진료
치과 소식
상담 & 예약
치과 소식
공지사항
환자가 쓴 진료후기
의사가 쓴 진료후기
전/후 사진
치아교정일기
유튜브영상
자주하는질문(영상)
작성일 : 10-11-11 12:36
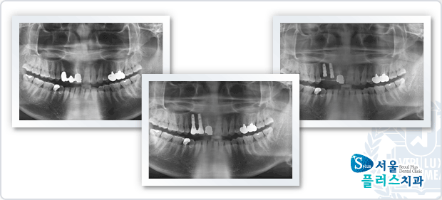
[임플란트] 임플란트 - 상악 전치부 임플란트 식립
글쓴이 :
관리자
조회 : 8,000
서울플러스 치과소개
서울플러스의 특별함
의료진소개
진료시스템
서울플러스 둘러보기
진료안내
오시는길
수면마취센터
수면마취센터
임플란트
사랑니발치
치아재식술
충치치료
신경치료
임플란트 특화진료
특화된 임플란트 치료
서울플러스 퀵플란트
네비게이션 임플란트
뼈이식 임플란트
전체 임플란트
재수술 임플란트
치아교정 특화진료
특화된 치아교정 치료
서울플러스 원데이교정
유아·청소년 교정
자가결찰교정
설측교정
투명교정
인비절라인
치아성형 특화진료
라미네이트
올세라믹
치아미백
잇몸성형/미백
레진
치아 일반진료
충치진료
사랑니진료
잇몸진료
치과 소식
공지사항
환자가 쓴 진료후기
의사가 쓴 진료후기
전/후사진
치아교정일기
유튜브영상
자주하는 질문(영상)
상담 & 예약
온라인 상담
온라인 예약
문자 상담
카톡 상담
개인정보취급방침 |
이용약관 |
관리자 로그인